|
Homöopathie und Umweltmedizin
Die Homöopathie ist eine Erfahrungsmedizin. Über die Erfahrungen der Arzneimittelprüfungen an Gesunden oder über die Heilerfahrungen an vormals Erkrankten lassen sich die Effekte und Wirkungen der Homöopathie erkennen und nutzen.
Diese homöopathischen Wirkungen können jedoch beträchtlich gestört oder blockiert werden. Diese Tatsache hat bereits Hahnemann erkannt und in seinem „Organon der Heilkunst“ im § 252 bzw. in den §§ 259-261 verdeutlicht. Diese Blockaden oder Heilungshindernisse können bedingt sein durch Lebensumstände, Ernährung oder iatrogene (schulmedizinische) Einflüsse und müssen entfernt bzw. abgestellt werden, wenn vollständige Heilung erreicht werden soll. Darüber hinaus können sie nicht nur den homöopathischen Heilungsverlauf behindern, sondern bergen an sich schon erhebliches krankmachendes Potenzial. Nun haben seit Entstehung des Organons bestimmte schädliche Umwelteinflüsse dramatisch zugenommen oder waren zu Hahnemanns Zeiten noch völlig unbekannt in Art und Wirkung. Daher erachte ich es für notwendig, eine Erweiterung und kritische Untersuchung der modernen „Störquellen“ und „Krankmacher“ vorzunehmen. Diese Betrachtungen können aufgrund der rasanten wissenschaftlich-technischen Entwicklungen natürlich nicht umfassend oder abschließend sein. Ich möchte daher eine Auswahl der wichtigsten künstlich geschaffenen Umweltgefahren hier besprechen.
Amalgam
Die überwiegende Mehrzahl der Zahnärzte hält Amalgam nach wie vor für ein kostengünstiges, leicht zu verarbeitendes, haltbares und vor allem ungefährliches Füllungsmaterial für Zähne. Dabei wird schnell verdrängt, dass Amalgam zu ca. 53 % aus reinem Quecksilber besteht. Toxikologisch wird Quecksilber (chemisch: Hg) als ein sehr starkes Nervengift eingestuft und muss mit dem internationalen Giftsymbol deklariert werden. Auszug aus der homöopathischen Arzneimittelprüfung von Quecksilber (=Mercurius)
- gesunde Zellen entzünden sich und nekrotisieren (Zelltod) - Blutzersetzung, Anämie - Knochenzersetzung, Zerstörung des Lymphsystems und aller Drüsen - rheumaartige Schmerzen, Geschwürsbildungen - Haarausfall, Abszesse (Eiterungen) an allen Organen möglich - Parodontitis/Parodontose (Zahnfleischentzündung/-schwund), freiliegende Zahnhälse, Zahnzerfall - Zittern (Parkinson-Syndrom), Nachtschweiße, Hirnmüdigkeit, kognitive Ausfallerscheinungen, Wahnvorstellungen
Dr. Joachim Mutter und Kollegen kommen in ihrer wissenschaftlichen Meta-Studie (Download hier)
„Amalgam - Eine Risikobewertung unter Berücksichtigung der neuen Literatur bis 2005“
zu folgendem Schluss:
„Aufgrund der Berücksichtigung aller verfügbaren Daten kann Amalgam weder medizinisch, arbeitsmedizinisch noch ökologisch als sicheres Zahnfüllungsmaterial bezeichnet werden.“
Nach Auswertung zahlreicher internationaler wissenschaftlicher Untersuchungen konnten Dr. Mutter und Kollegen nachweisen, dass Quecksilber aus Amalgamfüllungen mit folgenden Erkrankungen bzw. Schädigungen in Zusammenhang gebracht wird oder direkt verantwortlich dafür ist: - Nierenschäden - genetische Defekte, Zellkernschäden - erhöhter oxidativer Zellstress (Anm.: ein möglicher Auslöser für Krebs) - Autoimmunerkrankungen, wie z.B. rheumatische Erkrankungen, Multiple Sklerose, Autoimmunthyreoiditis oder systemischer Lupus erythematodes - Alzheimer-Demenz (Aluminium u.a. Metalle wirken synergistisch, d.h. verstärken die Symptome zusätzlich) - Autismus bei Kindern, deren Mütter Amalgamfüllungen besitzen, oder bei thiomersalhaltigen Impfungen (Quecksilber als Hilfsstoff) - verminderte Lernfähigkeit, Hyperaktivität und Abnahme der Reaktionsfähigkeit - Personal in Zahnarztpraxen zeigt neuropsychologische Auffälligkeiten bzw. pathologische Muskelbiopsien - Hautallergien, Granulomatosen - Infertilität (Unfruchtbarkeit), vor allem bei Hg-exponierten Zahnarzthelferinnen - Erkrankungen des Herz-Kreislauf-Systems (z.B. Bluthochdruck, Herzinfarkt) - Amyotrophe Lateralsklerose (ALS) - Allgemeine Symptome und Empfindlichkeiten: Chronische Müdigkeit, Kopfschmerzen, Migräne, gesteigerte Infektanfälligkeit, Muskelschmerzen, Konzentrationsstörungen, Verdauungsbeschwerden, Schlafstörungen, Vergesslichkeit, Gelenkschmerzen, Depressionen, Herzsensationen, vegetative Dysregulationen, Stimmungsschwankungen u.v.m.
Amalgam für Zahnfüllungen entsteht durch das Vermischen/ Verreiben, von jeweils etwa 50 % reinem Quecksilber und einer Feilungsmischung verschiedener Metalle zu einer knetbaren Masse, die nach kurzer Zeit (bis ca. 5 Minuten) erhärtet.
Die Feilungsmischung hat folgende Zusammensetzung:
- mindestens 40 % Silber - maximal 32 % Zinn - maximal 30 % Kupfer - maximal 5 % Indium - maximal 3 % Quecksilber - maximal 2 % Zink Silber verursacht in der homöopathischen Arzneimittelprüfung (AMP) u.a. folgende Symptome: - Atemwegserkrankungen - Rheumatische Gelenkschmerzen - Verschluß von Blutgefäßen - Zahlreiche gynäkologische Beschwerden Zinn gilt, ähnlich wie Quecksilber, als Nervengift. Es verursacht in der AMP u.a.: - Geistige und körperliche Schwächezustände - Lähmungserscheinungen - Depressive Verstimmungen Kupfer ist bekannt für die Auslösung von: - Krämpfen/ Krampfanfällen - tonischen und klonischen Spasmen - Konvulsionen - Epileptischen Anfällen
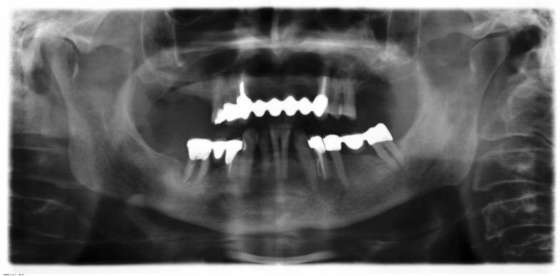
Dabei ist zu beachten, dass aufgrund der langen Liegezeit von Zahnamalgam (10 Jahre oder länger) bereits eine einzige Füllung eine Vielzahl von Beschwerden auslösen kann. Selbst wenn Amalgamfüllungen nach Jahren herausgebohrt werden (Vorsichtsmaßnahmen beachten!) und ungiftige Ersatzstoffe benutzt werden, so ist doch bereits viel Quecksilber (Hg) in den Körper gelangt. Es speichert sich im Fettgewebe, Knochen oder Gehirn ab und hat laut Aussagen von Dr. Daunderer oder Dr. Klinghardt eine biologische Halbwertzeit von 30 Jahren und länger. Eine fachgerechte Entgiftung ist daher unbedingt erforderlich. Das Gleiche gilt für wurzelbehandelte Zähne, die häufig Eiterherde bilden (oft unerkannt oder unbemerkt) und durch ihren jeweiligen Organbezug für schwere gesundheitliche Störungen verantwortlich sein können. Eine Röntgen-Panorama-Aufnahme (OPG) kann das Ausmaß der Belastung zumindest im Zahn-Kiefer-Bereich sichtbar machen. Für den homöopathischen Praktiker bedeutet dies, dass eine genaue Repertorisation bzw. Differenzialdiagnose in manchen Fällen kaum oder unmöglich realisiert werden kann, solange im Körper des Betroffenen die Auswirkungen schädigender Umwelteinflüsse ihr Unwesen treiben. Diese „unterhaltenden Ursachen“, wie Hahnemann sie nannte, erzeugen ihre eigenen, umweltbedingten Symptome, die einen Homöopathen bei der Mittelbestimmung in die Irre führen können. Werden sie abgestellt, verändert sich das Symptomenbild meist drastisch und eine homöopathische Behandlung ist u.U. kaum noch nötig oder es tritt jetzt die von Fremdsymptomen befreite chronische Krankheit zutage, die nun in gewohnter Weise repertorisiert werden kann und zu einer verläßlicheren und nachhaltigeren Mittelverschreibung führt. Natürlich gelingen viele homöopathische Heilungen auch ohne Berücksichtigung von schädlichen Umwelteinflüssen. Dafür kann es verschiedene Gründe geben. Eine individuell unterschiedlich stark ausgeprägte Kompensationsleistung (Lebenskraft) des Körpers kann beispielsweise umweltbedingte manifeste Symptome zeitweilig verhindern und somit den Homöopathen in die Lage versetzen, die relevanten Zeichen einer Erkrankung klar zu erkennen und eine dementsprechende Mittelverschreibung vorzunehmen. Die durch ein gefundenes Simile einsetzenden Heilreaktionen dürfen jedoch nicht darüber hinwegtäuschen, dass es höchst ungewiß bleibt, wie lange dieser fragile Gesundheitszustand aufrecht erhalten werden kann, wenn Störquellen und Gifte ungehindert weiter auf den Körper einwirken. Buch- und Videoempfehlungen:
Gifte im Alltag: Wo sie vorkommen, wie sie wirken, wie man sich dagegen schützt. Der umfassende Ratgeber in völlig überarbeiteter Neuauflage
von Dr. Max Daunderer
Amalgam. Risiko für die Menschheit: Quecksilbervergiftungen richtig ausleiten. Neue Fakten und Hilfe, auch nach der Amalgamentfernung.
von Dr. Joachim Mutter
Schwermetalle und ihre Wirkung auf die Gesundheit.
von Dr. Dietrich Klinghardt
Download: Amalgam-Vortrag:
http://www.anti-zensur.info/?page=Videos#supergift
Mobilfunk
Worum geht es?
Es geht um jede Art von Mobilfunkstrahlung (Mikrowellen), deren gesetzliche Grenzwerte millionenfach (!) zu hoch sind.
Es geht um Mobilfunkmasten, Handys, Schnurlostelefone (DECT), Wlan, Bluetooth und jede andere Drahtlostechnik, die gepulste Hochfrequenzstrahlung aussendet.
Grenzwerte in Deutschland
|
D-Netz (900 MHz)
|
=
|
4.500.000 µW/m²
|
|
E-Netz (1.800 MHz)
|
=
|
9.000.000 µW/m²
|
|
UMTS
|
=
|
10.000.000 µW/m²
|
|
Demgegenüber steht Folgendes:
|
wissenschaftliche Empfehlung für den Schlafbereich:
|
< 0,1 µW/m²
|
|
nachgewiesene Gesundheitsschäden bei allen Säugetieren (Lundquist-Studie 2002):
|
0,2 µW/m²
|
|
Mobilfunktelefonat ohne Einschränkungen möglich bei:
|
0,001 µW/m²
|
|
 |
Wie gefährlich ist Mobilfunkstrahlung?
Hier einige Anhaltspunkte und Fakten:
Versicherungskonzerne weltweit verweigern generell eine Versicherung wenn es um mögliche Schäden durch:
- Kernkraftwerke
- Gentechnik in der Landwirtschaft
- Mobilfunk
geht, da die Schäden an Gesundheit, Natur, Wirtschaft etc. zu gewaltige finanzielle Ausmaße annehmen würden, als das ein Versicherungsunternehmen diese decken könnte.
Mobilfunk bringt also schon aus rein betriebswirtschaftlichen Risikoerwägungen ein unkalkulierbares, vernichtendes Gefahrenpotenzial mit sich.
Um sich gegen Schadenersatzklagen zu schützen, haben die Mobilfunkbetreiber extra Mobilfunkbau-GmbHs gegründet, die nur mit ihrem Stammkapital (25.000 Euro) haften. Zur Erinnerung: Normale Haftpflichtversicherungen decken Schäden bis 100 Millionen Euro ab.
Unterschied analoge – gepulste Strahlung
analoge Strahlung: kontinuierliche Belastung
gepulste Strahlung: „Wellenpakete“ von mehreren Gigahertz werden mit einer bestimmten Taktfrequenz (zeitlichem Abstand) ausgesendet (z.B. 10 Hz, 100 Hz usw.) und einer zusätzlichen Aufmodulation von 8,34 Hz und 2 Hz.
Diese Aufmodulation entspricht den menschlichen Gehirnwellen im Schlaf bzw. in der Regenerationsphase.
Gehirnwellen: Deltabereich: 1 - 4 Hz; Thetabereich: 4 - 7 Hz; Alphabereich: 8 - 13 Hz Wird die Schlafphase durch eine der Gehirnwellen ähnliche äußere Wellenform gestört, kommt es zu schweren psychischen und körperlichen Beeinträchtigungen. Darüber hinaus haben bereits in den 1930-ern deutsche Wissenschaftler festgestellt, dass die Schädigung von lebendem Gewebe mit dem Anstieg der Wellenfrequenz ebenfalls zunimmt. Zum damaligen Zeitpunkt konnte nur im Megahertz-Bereich (Millionen Takte pro Sekunde) gesendet werden. Heute wird im Gigahertzbereich (Milliarden Takte pro Sekunde) mit zusätzlich getakteten Impulswellen gesendet.
 |
Zitate von Behörden, Vereinen und anerkannten Wissenschaftlern, die umfangreiche Mobilfunkstudien durchgeführt haben: Dr. George Carlo, Medizin-Physiker und Leiter einer von der US-Mobilfunkindustrie in Auftrag gegebenen 27-Millionen-Dollar-Studie sollte die Ungefährlichkeit des Mobilfunks beweisen und kommt 1999 während seiner Untersuchungen zu ersten unerwarteten Erkenntnissen: "Es gibt Beweise für Schäden durch Mobilfunk. Es geht nicht nur um Hirntumore, Krebs und Blutveränderungen sondern auch um genetische Störungen und andere Probleme. Wenn wir jetzt keine umfassenden Forschungen anstellen und die Augen schließen, dann bringt das gar nichts. Mit den Informationen, die wir zum jetzigen Zeitpunkt in der Hand haben, ist Entwarnung absolut unhaltbar."
„Immobilien sind bis zu 50 % weniger wert.“ (Wenn sie in der Nähe von Mobilfunkanlagen stehen.) RDM Informationsdienst für Sachverständige, 5/2003; vom 30. März 2006, Bundesgerichtshof
Prof. Dr. Ing. Alexander H. Volger von der RWTH Aachen im April 2001: "Verordnung und Standortbescheinigung bieten keinen Schutz. Die Behauptung einer Schutzwirkung durch die Behörden ist als wissenschaftliche Falschinformation anzusehen. Sie entspricht rechtlich allen Merkmalen des Betrugs und schließt grob fahrlässige bis absichtliche Gefährdung und Körperverletzung ein."
Prof. Dr. Andras Varga, Leiter des Hygiene-Institutes der Universität Heidelberg, veröffentlicht schon 1991 seine Forschungsergebnisse: "Die deutschen Grenzwerte sind zu hoch! Wir haben Hühnereier in einem Brutschrank mit Mikrowellen der Stärke unterhalb unserer Grenzwerte bestrahlt und jedes Embryo getötet! Kein einziges Küken ist geschlüpft, keines hat die Strahlen überlebt. Aus der Kontrollgruppe, die nicht bestrahlt wurde, schlüpften ausnahmslos gesunde Tiere."
Berliner Bundesanstalt für Arbeitsmedizin: "Gepulste Mikrowellen der Intensität eines Mobilfunktelefonates beeinflussen die bioelektrische Gehirnaktivität. Es gibt keinen Zweifel, dass solche Handywellen biologisch wirksam werden können."
Wissenschaftler sprechen von Hormon-, Stoffwechsel-, Herz- und Kreislaufproblemen, Öffnung der Blut- Hirn-Schranke, Krebs und Alzheimer, Verhaltensauffälligkeiten, Schlaf- und Konzentrationsstörungen, um nur einige Beispiele zu nennen.
Dr. Dan Lyle von der Loma-Linda-Universität, Kalifornien: "Gepulste Mikrowellen schädigen das Immunsystem und stören Neurotransmitterabläufe."
Dr. Hellmut Koch, Präsident der bayerischen Ärztekammer bestätigt: "Die heutigen Grenzwerte schützen nicht ausreichend vor Elektrosmog. Wir wissen, dass gepulste Strahlen biologisch besonders aktiv sind." Andere Ärztekammern argumentieren ähnlich.
Prof. Dr. Klaus Buchner ist Atomphysiker und Elektrotechniker an der Technischen Universität München. Er bestätigt in einem Vortrag im Februar 2002, dass man nach aktuellem Forschungsstand längst genug wisse, um zu belegen, dass Mobilfunkstrahlung und DECT-Signale ein Gefahrenpotenzial für die Bevölkerung darstellen. Es ginge dabei um Auswirkungen wie Unfruchtbarkeit, Gedächtnisstörungen, erhöhte Krebsraten, Störungen des Immunsystems und Schäden am Erbgut. "Ein Zehntausendstel der Grenzwerte reicht bereits aus, um wissenschaftlich überprüfbare Wirkungen zu hinterlassen."
Dr. Lebrecht von Klitzing: "Offenbar bedarf es erst einer mittleren gesundheitlichen Katastrophe, ehe der Staat seine Vorsorgepflicht wahrnimmt und die Risiken auf gesetzlichem Wege minimiert. Bislang haben Gewinninteressen Vorrang. Es ist nur eine Frage der Zeit und der individuellen Kondition, ob und wann wir dadurch krank werden."
 |
Was ist zu tun?
Leider kann man sich der Mikrowellenstrahlung kaum noch entziehen. Besonders tiefe Töne erzeugen VLF-Anlagen (Very Low Frequency). Sie werden offensichtlich leider immer noch vom Militär genutzt. Mit verheerenden Folgen für Mensch und Tier.
Immer mehr Menschen leiden an den Folgen von Mobilfunkstrahlung. Besonders betroffen sind Menschen, die in sogenannten Hotspots leben. Das sind Gebiete, auf die der gerichtete, konzentrierte Strahlungskegel einer Mobilfunkanlage auftrifft oder wo sich mehrere Strahlungskegel umliegender Anlagen überlappen. Manchen Familien bleibt da nur die Klage bzw. der Wegzug.
Übrigens, der Name "Öko-DECT" bei Schnurlostelefonen suggeriert der bereits informierten und besorgten Kundschaft Umwelt- oder Gesundheitsverträglichkeit, die sich - je nach Hersteller - meist nur auf Stromsparfunktionen beziehen. Manche dieser Geräte sollen keinen Dauerfunkkontakt mehr mit der Basisstation haben. Bei Anrufen arbeiten sie aber nach wie vor mit gepulster Hochfrequenzstrahlung, die lebendes Gewebe zerstört und das zentrale Nervensystem angreift. Studien darüber gibt es viele.
Nicht nur elektrosensible Menschen sollten daher schnurgebundene Telefone benutzen, möglichst kein oder nur wenig Handybetrieb und Wlan auf Kabel umstellen. Abgesehen von Mobilfunkmasten u.ä. kann man diese Dinge im persönlichen Umfeld sehr wohl ganz leicht selbst beeinflussen. Die Frage ist nur, ob man zugunsten der eigenen Gesundheit auf ein bisschen Bequemlichkeit verzichten kann.
Übrigens, Kinder sind in "strahlenden" Haushalten besonders stark gefährdet. Viele Wissenschaftler erkennen direkte Zusammenhänge zu erhöhten Leukämiezahlen, Gehirntumoren, Zellkernbrüchen sowie viele psychische Störungen (ADHS, Lernschwächen) und Ausfallerscheinungen.
Die eigentliche Gefahr liegt - wie übrigens auch bei Amalgam und anderen Umweltgiften - in einer schleichenden Zerstörung unserer Gesundheit:
Jeder sagt sich: „Solange es mir gut geht, brauche ich auch nichts zu ändern.“
Das ist leider ein Trugschluss, denn unser Körper ist - je nach Konstitution - zu außergewöhnlichen Kompensationsleistungen fähig. Trotz Belastungen und Schädigungen von bis zu 90 % kann unser bewundernswürdiger Körper ohne Einschränkungen und merkliche Symptome funktionieren. Manchmal treten aber sehr wohl deutliche Symptome auf, die jedoch im Laufe der Jahre kaum noch wahrgenommen und schließlich als „normal“ bezeichnet werden.
Wenn dann jedoch eine kritische - individuell unterschiedliche - Grenze überschritten wird, reicht der sprichwörtliche Tropfen aus, um das Fass zum Überlaufen zu bringen. Es folgt meist ein kompletter psychischer und körperlicher Zusammenbruch. Dann greifen oft sehr schnell verheerende Krankheitszustände um sich, für die die Schulmedizin nur palliative Maßnahmen kennt.
Es ist nun einmal so:
Nur derjenige, der sich umfassend informiert, kann auf dieser Grundlage auch vernünftige Entscheidungen treffen.
Noch ein Wort zu Homöopathie und Mobilfunkstrahlung:
Warum sollte die Mobilfunkstrahlung nur lebendes Gewebe (sprich die Lebenskraft) schädigen? Sollten unsere dynamisierten Arzneien, die über ihren spezifischen Schwingungszustand auf die Lebenskraft wirken, nicht ebenfalls empfindlich auf so eine massive physikalische Einwirkung reagieren?
Ich habe im Internet einen sehr interessanten Videovortrag über die Gefahren der Mobilfunkstrahlung gefunden.
http://www.archive.org/download/PanoramaFilmAZKMobilfunkstrahlung/ 180908_AZK_Scheiner_Weiner.avi.AVI
Impfungen  Gerade beim Thema Impfen ist es wichtig, sich sachlich und umfassend zu informieren.
Leider herrschen sowohl auf Seiten der Ärzte als auch auf Patientenseite häufig Angst, Panik und Unkenntnis vor. Dabei ist gerade hier eine offene, unvoreingenommene Diskussion über Nutzen und Schaden von Impfungen dringend geboten.
Zum "Pro" brauche ich wohl nichts zu sagen. Diese Auskünfte bekommt jeder bei seinem Arzt oder im Gesundheitsamt. Zum "Contra" empfehle ich die Bücher und Videovorträge von Anita Petek, da ihre Aussagen einer wissenschaftlichen Überprüfung standhalten. Die Informationen, die Anita Petek und andere Impfgegner geben, sollten insbesondere von Eltern oder zukünftigen Eltern bei ihrer Entscheidungsfindung bedacht werden. Download Impf-Vortrag:.org/download/PanoramaFilmAZKImpfungen/180908_AZK_Anita_Petek_Impfung.AVI.AVI Impfschäden, dass weiß die Homöopathie durch ihre über 200-jährige Geschichte, bildeten häufig den Grund für Heilungshindernisse, Blockaden, Rezidive, bösartige oder chronische Erkrankungen. Auch hier besteht das Heimtückische oft im schleichenden Verlauf, an Symptomen, die vielleicht erst in 10, 20 oder 30 Jahren auftreten und kaum noch in einen zeitlichen Zusammenhang mit einer erfolgten Impfung gebracht werden können. Daher sollte ein Homöopath neben Eigen- und Familienanamnese auch alle umweltbedingten Einflüsse mit erfragen und ggf. mit berücksichtigen.
- http://www.klein-klein-aktion.de/
- http://www.faktuell.de/content/view/2/33/
- http://www.faktuell.de/Hintergrund/Background376.shtml
- http://www.impfkritik.de/pressespiegel/2008020303.htm
- http://www.anti-zensur.info/index.php?page=Videos
|